Tratamientos realizados

Resultados reales de nuestros pacientes

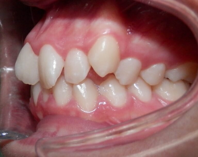
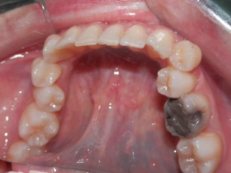
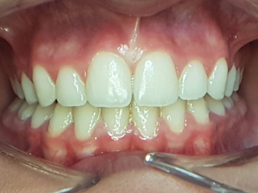
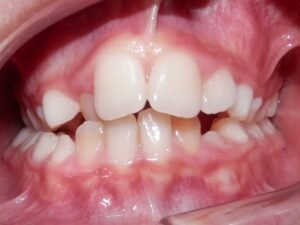
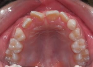
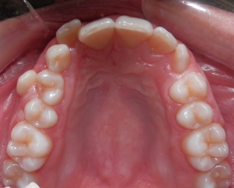
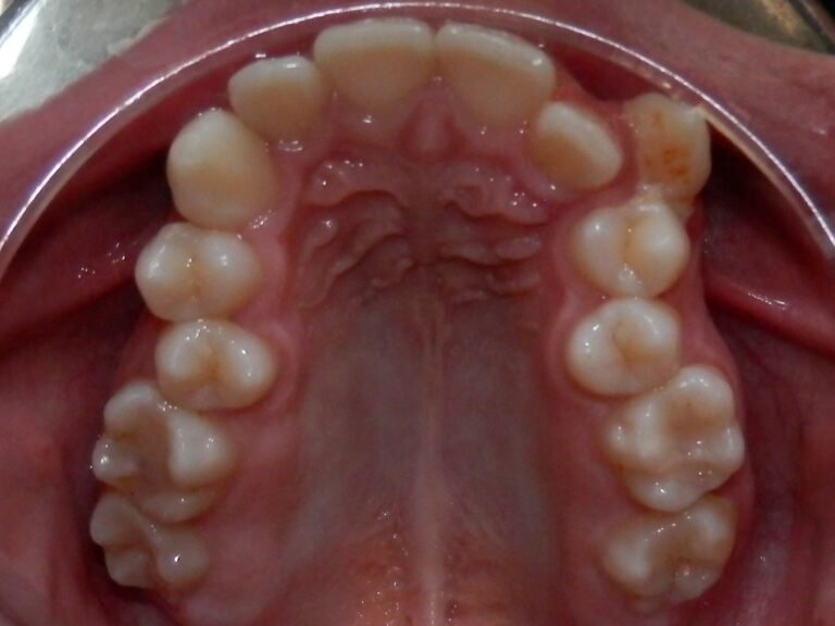
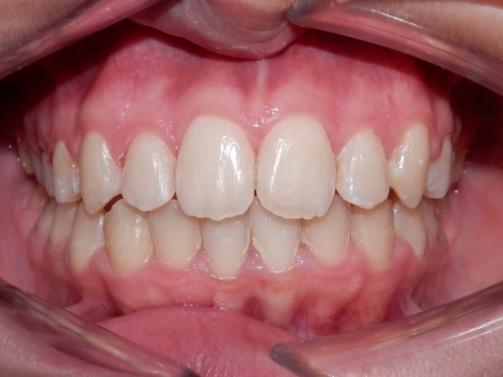
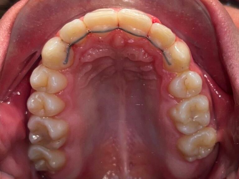
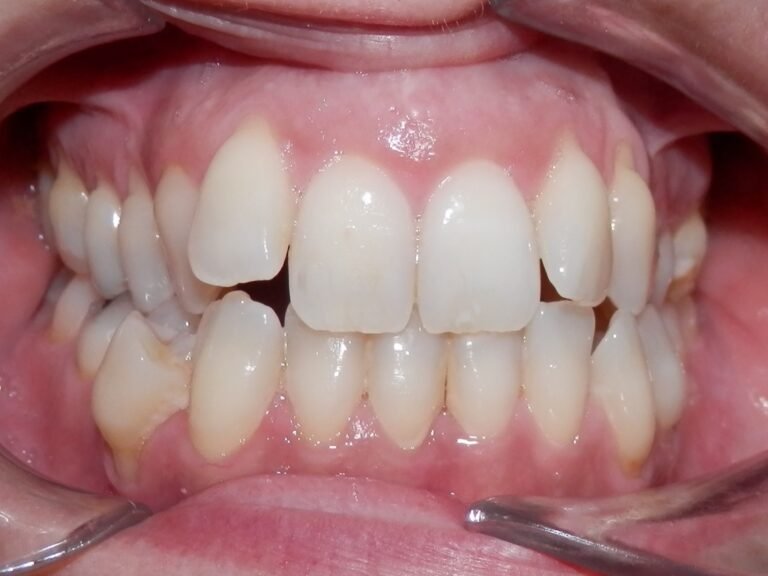
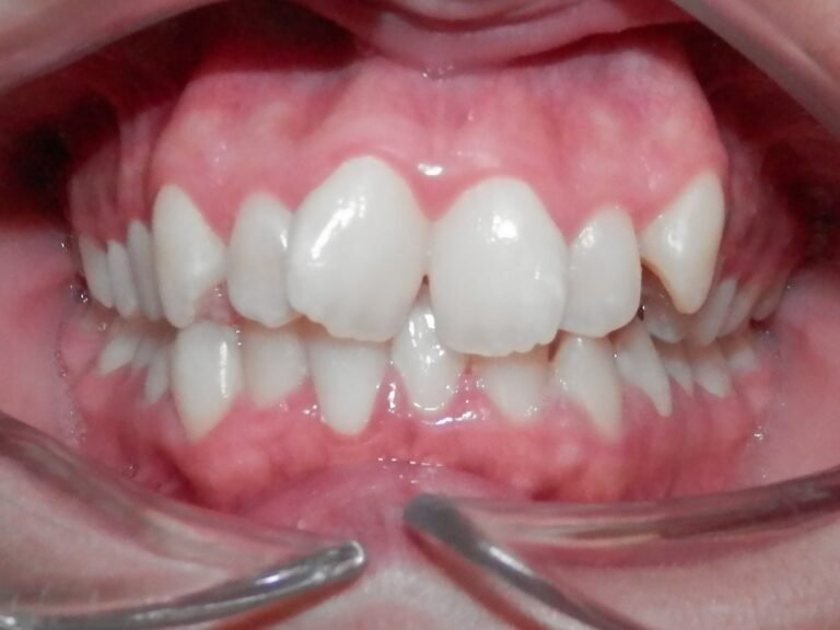
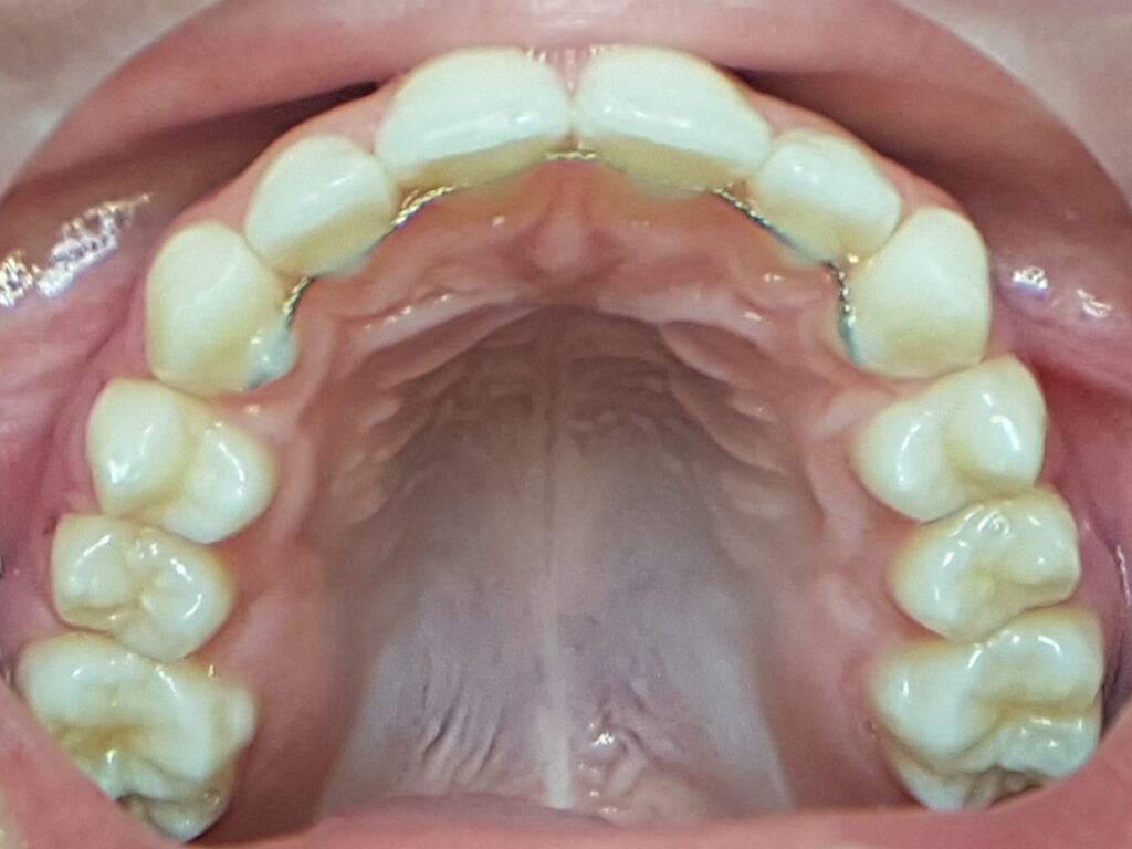
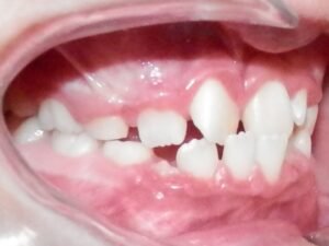
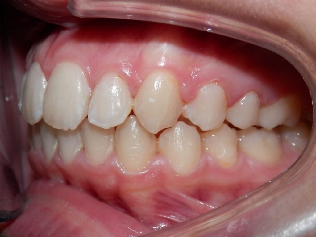
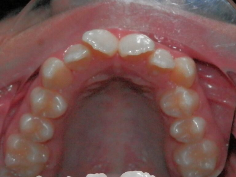
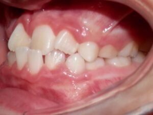
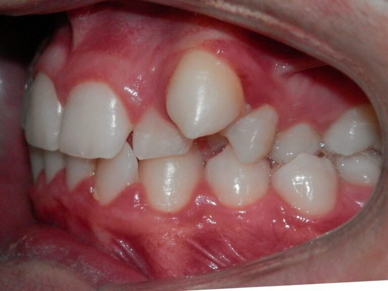
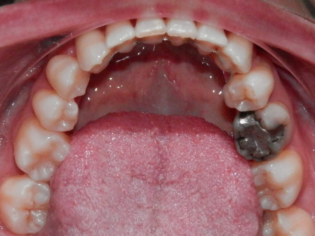
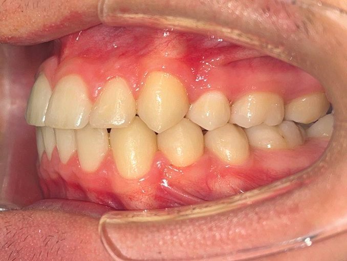
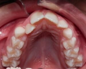
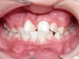
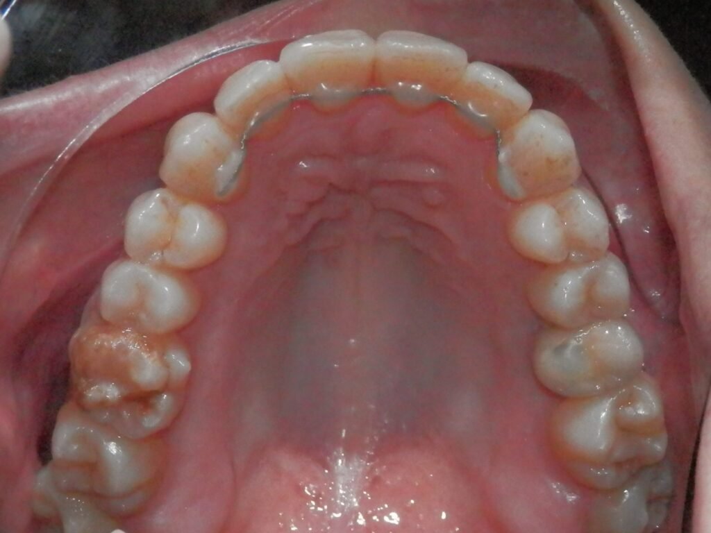
Antes y después de ortodoncia: sonrisas transformadas con precisión y naturalidad

Antes Después
Antes Después
Antes Después
Antes Después
Antes Después
Antes Evolución
Antes Después
Antes Después
Antes Después
Antes Después

LUZ TERESA ST

Iniciales

Finales

Antes Después
Antes Después
Antes Después
Antes Después

923212406

info@ortodonciagarciapuente.com